Accueil
Clinique
Notre équipe
Nos spécialités
Implants Dentaires
Facettes dentaires
Orthodontie
Digital Smile Design – DSD
Pathologie buccodentaire
Prothèses dentaires
Dentisterie Pédiatrique
Odontologie Conservatrice Endodontie
Parodontologie
Laboratoire de prothèses
Réalisations Clinique
Galerie
Blog dentaire
Contact
Nous contacter
Prendre rendez-vous
Nous rejoindre
Ardentys
Réalisations clinique
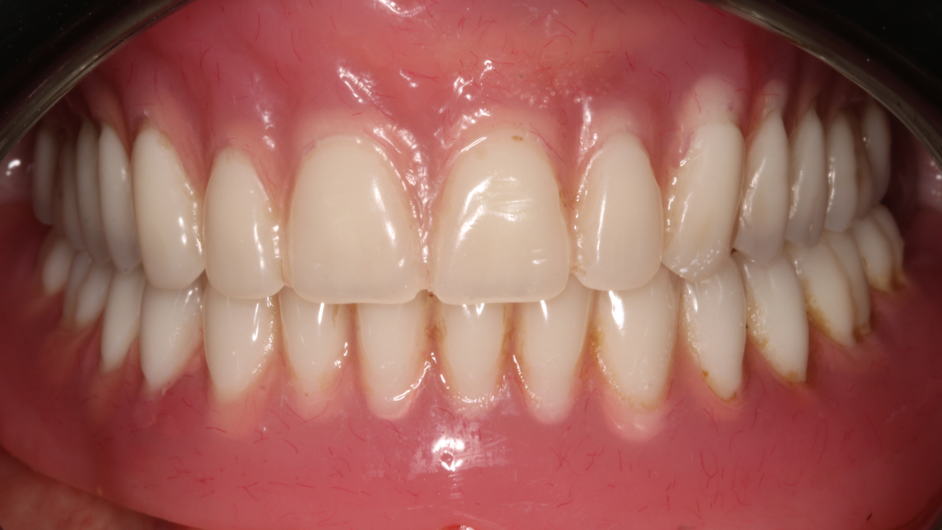
Réhabilitation complète bi maxillaire
Réhabilitation complète bi maxillaire
Appelez-nous
0661 38 86 10
Ecrivez-nous
contact@ardentys.com
Localisation
Groupe propriété n459 section 1 (CC3) Ouled Fayet - Alger
Rendez-nous visite
Prendre RDV